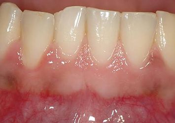
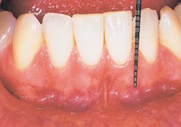
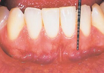
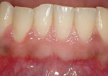
Periodontia


Permite ao profissional cuidar da saúde gengival e óssea do paciente, por meio de profilaxias periódicas preventivas (limpeza), raspagens: supra ou subgengivais quando o tártaro já está instalado, ou cirurgias reparadoras com enxerto ósseo ou gengival.

Também é nesta área que são realizadas as plásticas gengivais para devolver o formato e contorno correto da gengiva melhorando também a estética do paciente.