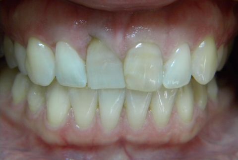
Implantodontia


O implante dentário é uma alternativa de reabilitação oral segura e com alto índice de sucesso. Ele pode ser utilizado para suportar prótese dentária de um único dente ou até da boca toda!

 

 

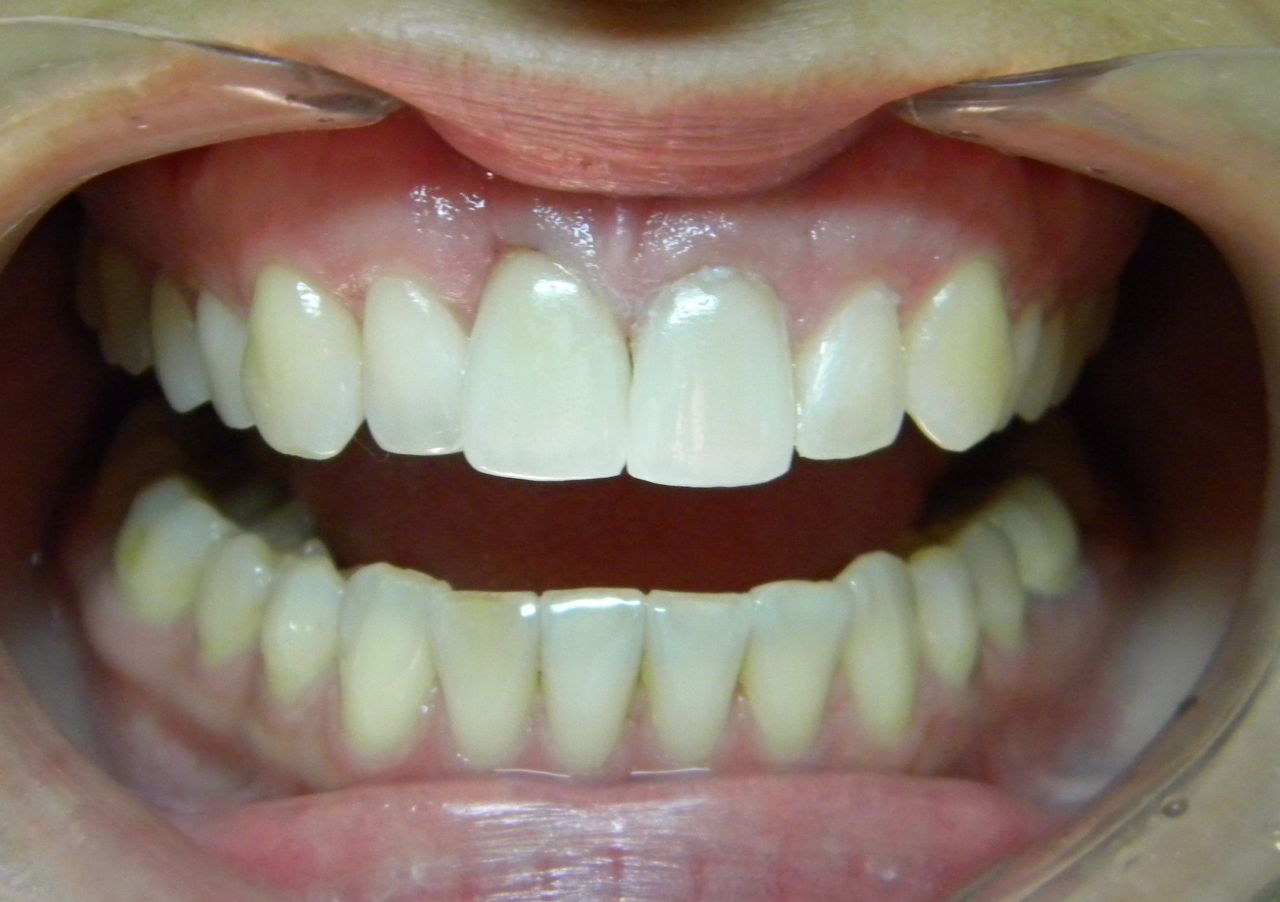
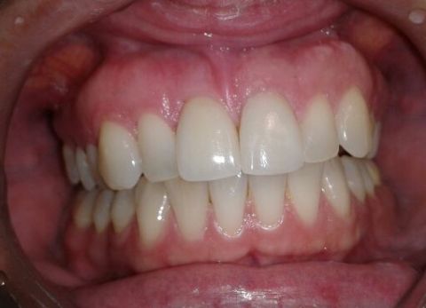
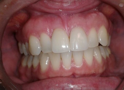
Protocolo de carga imediata

Deixe de usar dentadura em um único dia! Aqui no consultório você realiza este tratamento que começa com a cirurgia da instalação dos implantes pela manhã e a dos dentes a tarde. Você já parou pra pensar como a prótese total, a famosa "dentadura" te deixa inseguro? Deixe de usar dentaduraem um único dia!!!

Agende seu horário e venha conhecer o procedimento que vai deixar você mais bonito e confiante. Implante é tecnologia e restabelece a estética e a função mastigatória.