Agende uma avaliação
atendimento@marcelamaia.com
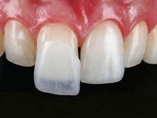
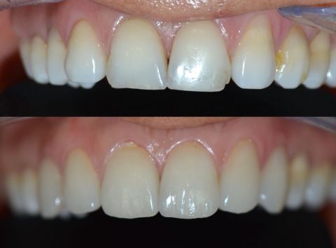
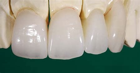
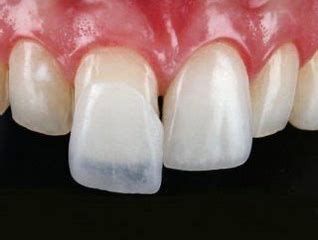
As facetas de porcelana, laminados ou “lentes de contato” podem ajudar muito quem busca ter um belo sorriso. Além de proporcionar simetria, elas podem aumentar o tamanho dos dentes e também definir a cor de acordo com o seu gosto.