Placa miorrelaxante / Placa de bruxismo / Placa oclusal.
Muito utilizada para tratamento da dor em oclusão, são aparelhos removíveis normalmente fabricados em resina acrílica, que cobrem as superfícies oclusais dos dentes superiores ou inferiores e são usadas no tratamento da disfunção músculo-articular associada ao bruxismo ou apertamento dental. O tratamento, que tem como objetivo principal diminuir a frequência e intensidade da atividade muscular de apertamento e ranger dos dentes, também serve para proteger as estruturas dentais de desgastes e fraturas que aparecem junto com o problema.


Terapia a laser para DTM
A terapia a laser para DTM é um tratamento conservador que tem se mostrado promissor no alívio da dor e no tratamento da condição.
A terapia a laser funciona através da aplicação de luz de baixa intensidade na área afetada, estimulando a regeneração celular e promovendo uma grande melhora da sintomatologia dolorosa. Essa terapia é não invasiva e não causa dor, tornando-a uma opção atraente para aqueles que procuram alívio da dor na DTM.
A terapia a laser para DTM funciona através da estimulação dos tecidos moles e dos músculos ao redor da articulação temporomandibular. A luz de baixa intensidade do laser penetra nas células e estimula a produção de ATP, que é a energia que as células precisam para se regenerar e se curar.
Além disso, a terapia a laser também aumenta o fluxo sanguíneo para a área afetada, reduzindo a inflamação e promovendo a cicatrização. É importante ressaltar que a laserterapia é um complemento aos tratamentos convencionais da DTM.


Acupuntura
O agulhamento seco ou acupuntura é uma técnica que tem enfoque na analgesia e inativação de pontos gatilhos. Quando a agulha penetra a pele, as fibras A deltas são ativadas, resultando na inibição das fibras C provenientes dos estímulos dos pontos gatilhos, tambem é um tratamento complementar nas DTMs.


Placa Oclusal Estabilizadora
A placa oclusal estabilizadora, é a mais utilizada entre os cirurgiões dentistas. Seu uso é primariamente para reduzir a dor muscular. Ela reduz, também, a chance de desgaste dentário e de fratura dentária.
A placa estabilizadora é indicada para pacientes com quadro de para função (BRUXISMO POR EXEMPLO) atuando na proteção do sistema. Em pacientes que possuem mialgias e/ou artralgias, as placas oclusais são utilizadas para alterar os padrões de certos tipos de cefaleia e como adjunto ao tratamento de deslocamento do disco articular.


A placa reposicionadora, como o nome indica, é um aparelho de posicionamento, que pode ser anterior ou posterior:
Placa para posicionamento anterior:
São utilizadas no tratamento de deslocamentos do complexo côndilo disco e/ou para casos de apneia obstrutiva do sono. Indicadas também para pacientes que possuem travamento crônico ou intermitente da articulação e algumas desordens inflamatórias.
Placa de mordida anterior:
Possui a função de desocluir dentes posteriores eliminando a influência na função mastigatória e trabalhar a hiperatividade dos músculos mastigatórios. Essa placa é indicada para desordens musculares que estejam associadas à instabilidade ortopédica do complexo maxila-mandíbula.
Placa de mordida posterior:
Os objetivos do tratamento com a placa de mordida posterior são proporcionar alterações maiores na dimensão vertical e posicionamento mandibular.
Table Tops
É o nome que damos para as restaurações indiretas que podem ser confeccionadas tanto em resina quanto em cerâmica e são muito utilizadas quando precisamos recuperar a Dimensão Vertical de Oclusão (DVO), ou seja, a altura da mordida do paciente.

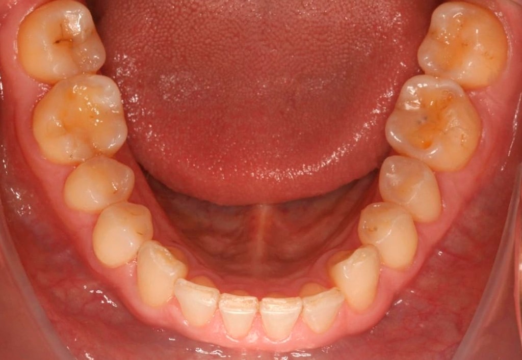
Aqui temos a foto inicial do caso.

Nesta imagem temos uma parte dos dentes reabilitada com table tops e outra não.

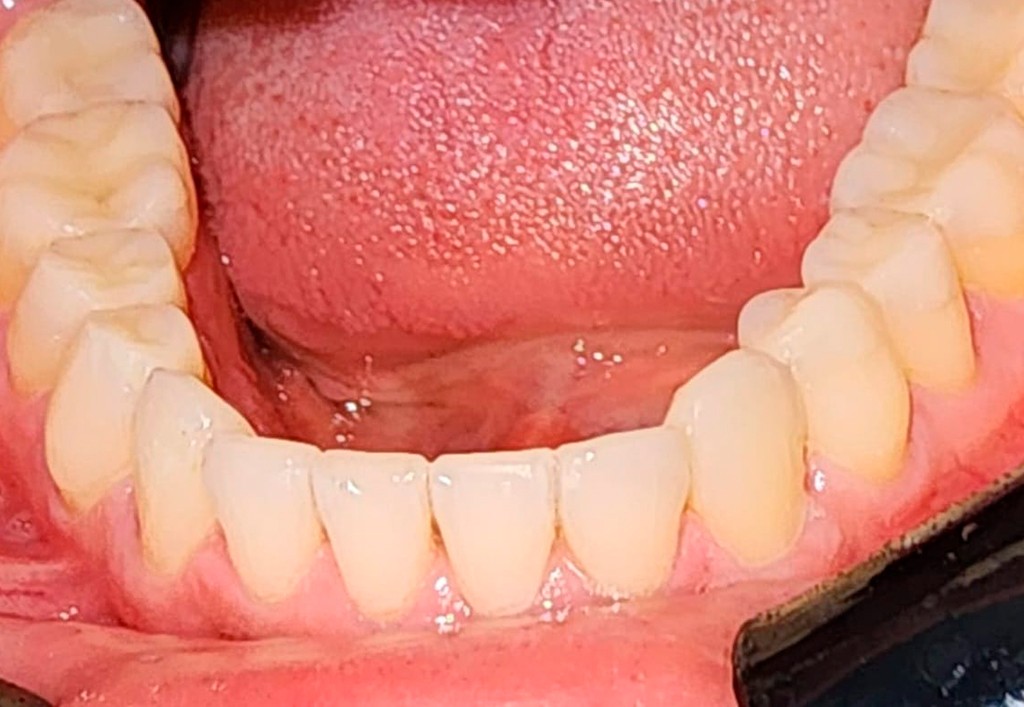
Aqui temos a foto final do caso.
Os resultados acima são individuais e nem sempre pode ser reproduzido para outros pacientes, não configurando propaganda de resultado. Publicação de caráter informativo, realizada com autorização expressa do paciente, através de Termo Livre e Esclarecido, conforme disciplina do art. 20 do Código Civil, art. 18 da Lei n. 13.709/18 e Resolução CFO n. 196/2019.
Casos realizados por Mateus Anacleto CROSP 105.862